PRP注射と
経結膜脱脂術を併用した
PRP-MI脱脂術
PRP-MI脱脂術とは?
同時に行うことで、たるみやふくらみだけでなく、
色素沈着や小じわなども同時に改善できる治療です。
脱脂術


インジェクション

通常の治癒過程よりも、
コラーゲンやヒアルロン酸、エラスチンなどの
美肌成分に富んだ肌が再生されます。
PRP-MI脱脂術はこんな方に向いています
- 目の下のクマを完全に無くしたい
- たるみと色素沈着を同時に改善したい
- 目周りを全体的に若返らせたい
- 美肌効果も同時に得たい
- 自然な仕上がりが良い
PRP-MI脱脂術効果のメカニズム
ふくらみやたるみだけでなく、
色素沈着や小じわも同時に改善
-
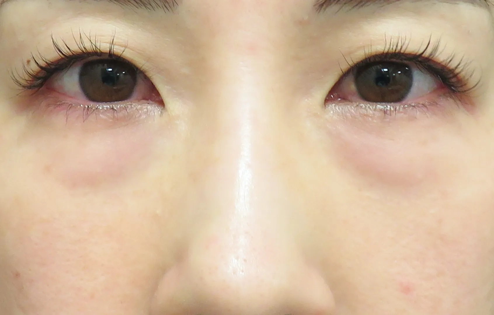
ふくらみによる黒クマ(影クマ)と茶クマを伴った例
-
下まぶたの裏側から脂肪を取り、同時にPRP注射とMIを行う
-
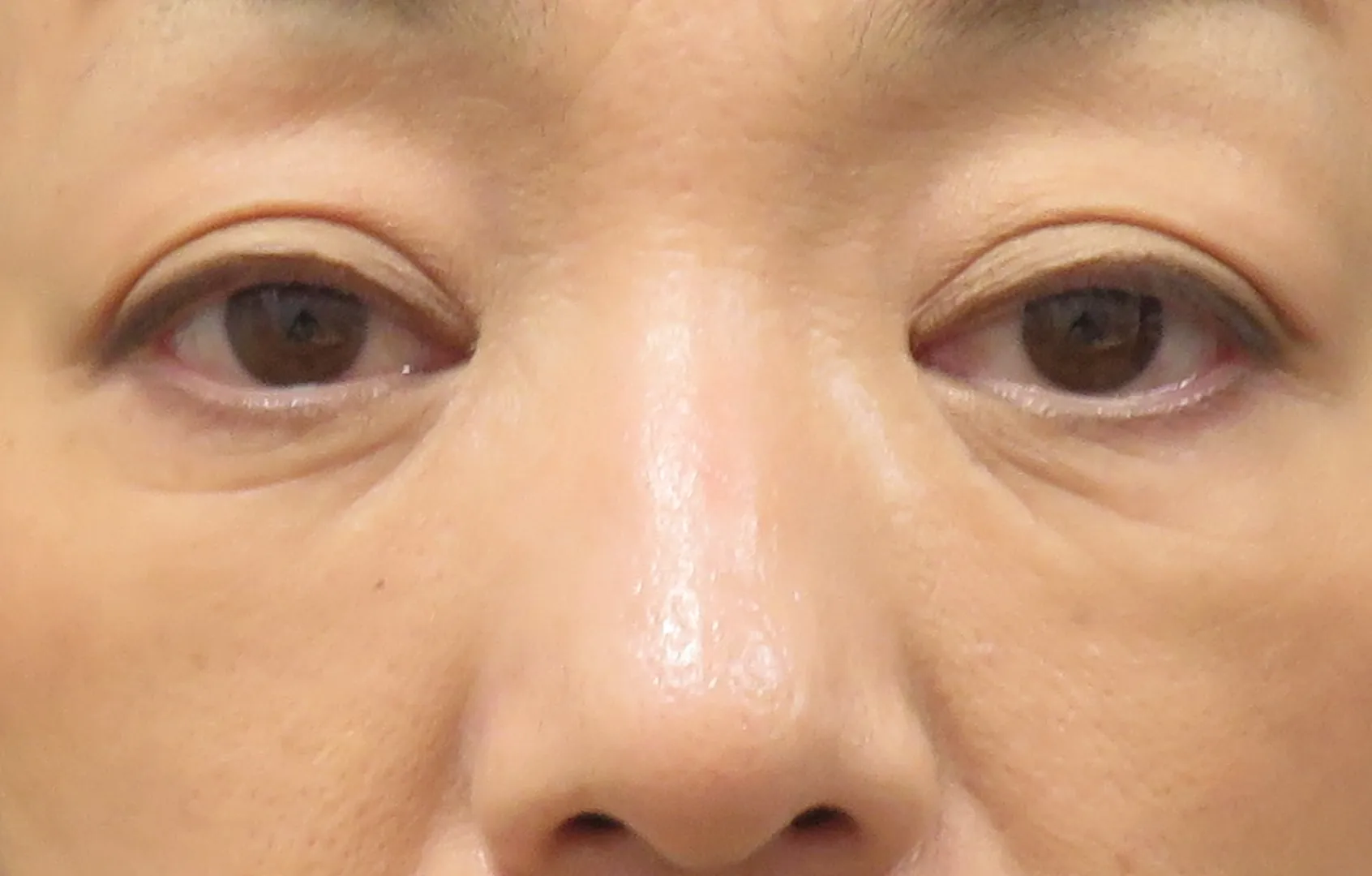
ふくらみだけでなく、皮膚再生効果により茶クマも改善
たるみの原因となる
3つの脂肪から、
PRP注射の併用に適した
部位や切除量を判断
治療のポイント
同時に行うことに
意味がある!
一般的にキズが治る過程では、出血から炎症期を経て、コラーゲン合成により新しい組織が再構築されます。
最初の出血期には、出血部から染み出た血小板により治癒過程が始まりますが、同時に外部からも血小板由来成長因子やFGFを含む「PRP注射」を補填注入することで、皮膚の再構築の過程において、通常よりもコラーゲンやヒアルロン酸、エラスチンなどの美肌成分が豊富な肌が産生されます。
なぜPRP-MI脱脂術が必要?
色素沈着や
小ジワは治らない
そのため、肌再生効果をもつPRP注射を同時に行うことで上記の症状も併せて治療することが必要となります。
より高い美肌効果をお求めの方にはPRP-MI脱脂術プレミアムがおすすめです
特殊製法のため、採血から1週間以降の治療となります。
PRP-MI脱脂術は目周りのお悩みを全て解決します
PRP-MI脱脂術では、
まぶたや目尻、目頭の凹み・くすみにもPRP注射を行うことにより、
同時に治療することが可能です。
同時に行った症例
施術名/料金:PRP-MI脱脂術 320,000円(税込 352,000円)リスク: 効果の個人差、左右差、過度のふくらみ、しこり、凹凸、感染等
施術の流れ

STEP 1
カウンセリング
お悩みになっている状態や部位についてできるだけ詳しくお聞かせください。症状に対して、最適な治療法をご提案いたします。

STEP 2
PRP作製用の採血
PRP作製用の採血を行います。採血量はご希望の効果と部位によって変わります。また、事前に血液検査が必要になる場合がございます。

STEP 3
PRPの作製
採取した血液を遠心分離器にかけて、PRPを抽出します。

STEP 4
施術
共有したイメージ通りになるよう、熟練した医師がPRP-MI脱脂術を行います。
治療概要・禁忌・リスクについて
| 時 間 | 3時間程度(PRP作製約2時間、施術約1時間) |
|---|---|
| 麻 酔 | 笑気麻酔・局所麻酔・静脈麻酔(別途料金) |
| 通 院 | 必要なし |
| ダウン タイム |
|
| 禁 忌 |
|
| 起こりうる リスク |
効果の個人差、左右差、過度のふくらみ、しこり、凹凸、感染等 |
費用
PRP-MI脱脂術
320,000円
(税込352,000円)
PRP-MI脱脂術 アイスプレミアム
544,000円
(税込598,400円)
オプション
35,000円
(税込38,500円)
PRP-MI脱脂術についての よくある質問
-
すぐに効果を感じられますか?
本治療はご自身の肌再生効果を利用しますので、注入後、約1ヶ月から再生反応が開始し、完了するまでに6か月~12か月程度かかります。
なお、PRP注射の特性上、施術後1か月前後で一時的に「元の状態に戻ったように感じる」ことがあります。これは、施術直後に生じる腫れや炎症反応が落ち着くことによるもので、再生反応が始まる前の正常な経過です。
その後、PRPに含まれる成長因子の作用により組織の再生が進み、時間をかけて徐々に効果が現れていきます。 -
効果はどれくらいもちますか?
2025年時点で、PRP注射開始時から6年間経過しておりますが、その時期に施術させて頂いたお客様のほぼすべての方において、効果の80%以上が維持されています。
-
脱脂術とPRP注射の施術を別の日にすることはできますか?
PRP注射、脱脂術ともに単独での施術も可能ですが、それぞれを単独で行うときに比べて、PRP注射の注入量・注入部位が微妙に異なりますので、同時に受けられるほうが仕上がりはきれいになります。
-
他院で脱脂術をしてから、PRP注射のみやってもらえますか?
すでに他院で脱脂術を受けられた方で、凹みや色素沈着が残ってしまっている方は、PRP注射で治療可能です。ただし、PRP注射を行う前提での当院での脱脂術は、脱脂術単独で行う場合に比べ、脂肪の切除量や切除コンパートメントが異なります。そのため、脱脂術も当院で受けられたほうが仕上がりは良くなります。
-
治療後は腫れますか?
脱脂術単独でも腫れることが多いことに加えて、PRP注射も同時に行いますので、強くむくんだ程度の腫れと内出血もほとんどの方に起こります。ですが、必ず10日程度で目立たなくなりますので、ダウンタイム中はご不安かと思いますが、ご安心ください。
-
目の下のクマは目立たないのですが、PRP脱脂術効果が得られますか?
目の下のくまやたるみ(ふくらみ)が目立たない方でも、眼窩脂肪の量によっては、PRP脱脂術効果が得られることも多いです。ご自分での判断は難しいので、実際に、医師がお目元の状態を診察してから、適切な得られる効果について、ご説明させていただきます。なお、遠方などの理由で事前のご来院が難しければ、お目元の写真をEメールやSNSのダイレクトメッセージなどでお送りいただけましたら、事前に適応の可否を判断することも可能です。
-
施術を受けられない人はいますか?
ご自分の血液を使用しますので、基本的には年齢や体質に関係なくすべての患者さまにお受けいただけます。ただし、妊娠中や授乳中の方、悪性腫瘍の既往がある方はお受けいただけない可能性がございますので、事前に医師にご相談ください。






