二重ラインへのPRP注射による 二重幅拡大術

再手術ナシの修正術
埋没・切開二重手術後に、再手術はしたくないけど、もう少し幅を広げたい、左右差を改善したいという方、
PRP注射の二重幅拡大術は、再手術ナシで二重幅の拡大、調整を行うことが可能です。
のPRP注射
二重幅拡大術は、
このような方に
オススメの施術です。
-
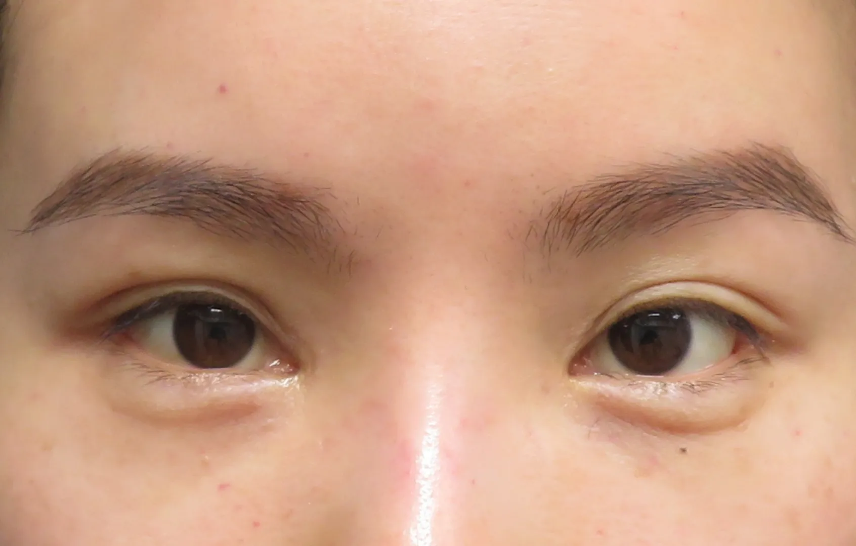
二重幅に左右差
-
幅の狭い平行二重
-
シワっぽい
二重ラインへのPRP注射による二重幅拡大術で
解消できるお悩み
-
切開線が目立つ
-
以前の奥二重の線が
目立つ -
炎症性色素沈着
施術が適応になるか、
無料カウンセリングをご利用ください。
二重幅拡大術の
メカニズム


二重幅部分に皮膚再生が
起こり、幅が広がります。
で調整できるのが
最大のメリット
二重術後に二重幅を変更するには、再手術しかないと思われがちです。
しかし、再手術ではお目元に負担がかかることはもちろん、
希望のラインにならない可能性もあります。
しかし、PRP注射ではお目元の負担なしで、
二重の幅や厚みを微調整することができます。
PRPを専門にしているからこそ可能な
二重幅拡大術
-

高品質なPRPG
1.高品質なPRPG皮膚が薄く、結果が顕著に現れる部分は、患者さまの状態に応じたPRP注射の作製技術が重要です。
-

精密な注入技術
2.精密な注入技術非常に小さく薄い範囲に二重やシワ、曲線が混在するため、精密な注入技術が求められます。
-

カスタマイズ
3.カスタマイズ二重幅の症状は年齢や骨格によって様々です。患者さまに合わせてすべて治療はカスタマイズ。
イメージと違ったという
場合でも安心!
PRP注射による二重幅拡大術は、
施術から6か月以内であれば、
当院オリジナルの
“効果を抑える注射”で
元の状態に戻すことが可能です!
世界にみとめられた プルージュのPRP
プルージュ美容クリニック理事長は、PRPがまだ一般的に知られていない2010年よりPRPを使った再生治療の研究を重ねてきました。
その研究が、2012年に組織再生工学の国際的ジャーナル「Tissue Engineering」で論文が紹介されました。さらに本法はアメリカで特許を取得しております。そういった海外での評価も我々が治療の効果に自信をもっておすすめできる理由です。
施術の流れ

STEP 1
カウンセリング
お悩みになっている状態や部位についてできるだけ詳しくお聞かせください。症状に対して、最適な治療法をご提案いたします。

STEP 2
PRP作製用の採血
PRP作製用の採血を行います。採血量はご希望の効果と部位によって変わります。また、事前に血液検査が必要になる場合がございます。

STEP 3
PRPの作製
採取した血液を遠心分離器にかけて、PRPを抽出します。

STEP 4
PRPの注入
共有したイメージ通りになるよう、熟練した医師が丁寧に注入致します。
治療概要・禁忌・リスクについて
| 時 間 | 2時間(採血〜施術終了まで) |
|---|---|
| 麻 酔 | 局所麻酔、笑気麻酔、静脈麻酔(オプション) |
| 通 院 | 必要なし |
| ダウン タイム |
|
| 禁 忌 |
|
| 起こりうる リスク |
効果の個人差、希望幅にならない可能性、左右差、感染等 |
費用
PRP注射
98,000円
(税込107,800円)
PRP注射 アイスプレミアム
166,600円
(税込183,300円)
二重ラインへのPRP注射による二重幅拡大術についての よくある質問
-
すぐに効果を感じられますか?
本治療はご自身の肌再生効果を利用しますので、注入後、約1ヶ月から再生反応が開始し、完了するまでに6か月~12か月程度かかります。
なお、PRP注射の特性上、施術後1か月前後で一時的に「元の状態に戻ったように感じる」ことがあります。これは、施術直後に生じる腫れや炎症反応が落ち着くことによるもので、再生反応が始まる前の正常な経過です。
その後、PRPに含まれる成長因子の作用により組織の再生が進み、時間をかけて徐々に効果が現れていきます。 -
効果はどれくらいもちますか?
2025年時点で、PRP注射開始時から6年間経過しておりますが、その時期に施術させて頂いたお客様のほぼすべての方において、効果の80%以上が維持されています。
-
没法でも切開法でも施術可能ですか?
どちらの施術でも施術可能です。ただしPRP注射の適応になるかの最終判断は医師がカウンセリングで行います。
-
二重術をしていない場合でも幅を広げることは可能ですか?
元々の二重ラインがはっきりしている方(瞼板と皮膚の癒着が強い方)は可能です。医師がカウンセリングで二重ラインのご状態を診察して判断致します。
-
一重を二重にすることはできますか?
申し訳ありませんが、これは残念ながらできません。この施術はあくまで元々二重の方の幅を広げる施術となります。
-
PRP注射でハム目になりませんか?
ハム目とは、二重まぶたのラインがふくらみすぎている状態を言います。二重ラインや皮膚のご状態により、適切な濃度のPRPGおよび量を選択すれば、ハム目になる可能性は最小限となります。
-
二重幅拡大術と同時に目の周りのPRP注射も可能ですか?
可能です。目の周りの治療を同時に行うことで見た目は劇的に若々しくなりますので、ご希望があれば同時にカウンセリングさせて頂きます。
-
再治療をする場合、何年後が良いですか?
基本的に1度で長期間の効果が得られる治療となりますが、数年経過して幅が狭くなってきたとお感じになれば再注入が可能です。
Reservation
ご予約・お問い合わせ
初診も再診も
LINE予約がオススメ!
やり取りもご予約の確認もできて便利!
WEB予約
メールの場合は返信にお時間をいただく場合がございます。お急ぎの方はLINEにてお問い合わせください。
※未成年の方(18歳未満の方)は親権者同意書が必要となります。ダウンロードはこちら
お悩みに応じた併せて受けたい施術
二重ラインへのPRP注射による二重幅拡大術ページの医師監修について
医療広告ガイドラインに基づく
サイト運営について
当ページは、医療広告に関する法令および厚生労働省が定めるガイドライン(2018年6月改正・施行)を遵守し、プルージュ美容クリニック理事長 岡本慎一医師による監修のもと掲載しています。症例写真を掲載する際には、施術の内容説明に加えて、想定されるリスク・副作用、ならびに費用についても明記しております。ご利用の皆様には一部情報の変更や制限によりご不便をおかけする場合もございますが、正確かつ適正な情報提供のため、ご理解賜りますようお願い申し上げます。








