PRP注射
「美肌細胞。」
お肌の再生能力を最大限に引きだす
治療です。
ナチュラルなボリュームアップ効果や
美肌効果をもたらします。
PRP注射の効果


| 施術名 | PRP注射(目の下) |
|---|---|
| 料金の目安 | 両側 89,000円 (税込 97,900円) |
| 施術の説明 | ご自身の血液からPRP(血小板)を抽出し、成長因子を皮膚下に注入することで、若返りの効果が期待できる治療です。 |
| 施術のリスク | 効果の個人差、イメージの相違、過度のふくらみ、しこり、感染等 |


| 施術名 | PRP注射(ほうれい線) |
|---|---|
| 料金の目安 | 両側 89,000円 (税込 97,900円) |
| 施術の説明 | ご自身の血液からPRP(血小板)を抽出し、成長因子を皮膚下に注入することで、若返りの効果が期待できる治療です。 |
| 施術のリスク | 効果の個人差、イメージの相違、過度のふくらみ、しこり、感染等 |


| 施術名 | PRP注射(ひたいこめかみ丸み形成) |
|---|---|
| 料金の目安 | 198,000円 (税込 217,800円) |
| 施術の説明 | ご自身の血液からPRP(血小板)を抽出し、成長因子を皮膚下に注入することで、若返りの効果が期待できる治療です。 |
| 施術のリスク | 効果の個人差、イメージの相違、過度のふくらみ、しこり、感染等 |


| 施術名 | PRP注射(バスト) |
|---|---|
| 料金の目安 | MAX 380,000円 (税込 418,000円) |
| 施術の説明 | ご自身の血液からPRP(血小板)を抽出し、成長因子を皮膚下に注入することで、若返りの効果が期待できる治療です。 |
| 施術のリスク | 効果の個人差、イメージの相違、過度のふくらみ、しこり、感染等 |
PRP注射とは
による
肌細胞の再生
当院のPRPは、理事長が開発した独自の遠心分離法により成長因子を抽出しております。注入部位やお求めの効果、肌質などにより、PRP治療に精通した医師が、お客様ごとに医療用成長因子(FGF)の最適な濃度を6種類の中から判断して、配合しております。
PRP注射は、
こんなお悩みの方に
オススメ
ら改善したい方
たい方
い方
PRP注射で改善できる部位
部位に適応
PRP注射による肌再生効果により、シワやへこみの改善からボリュームアップまで、お顔のお悩みを改善できます。
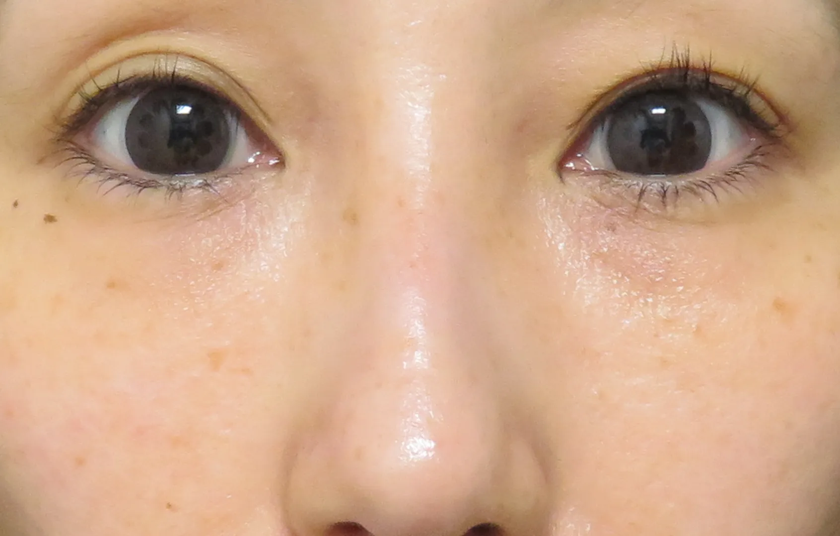
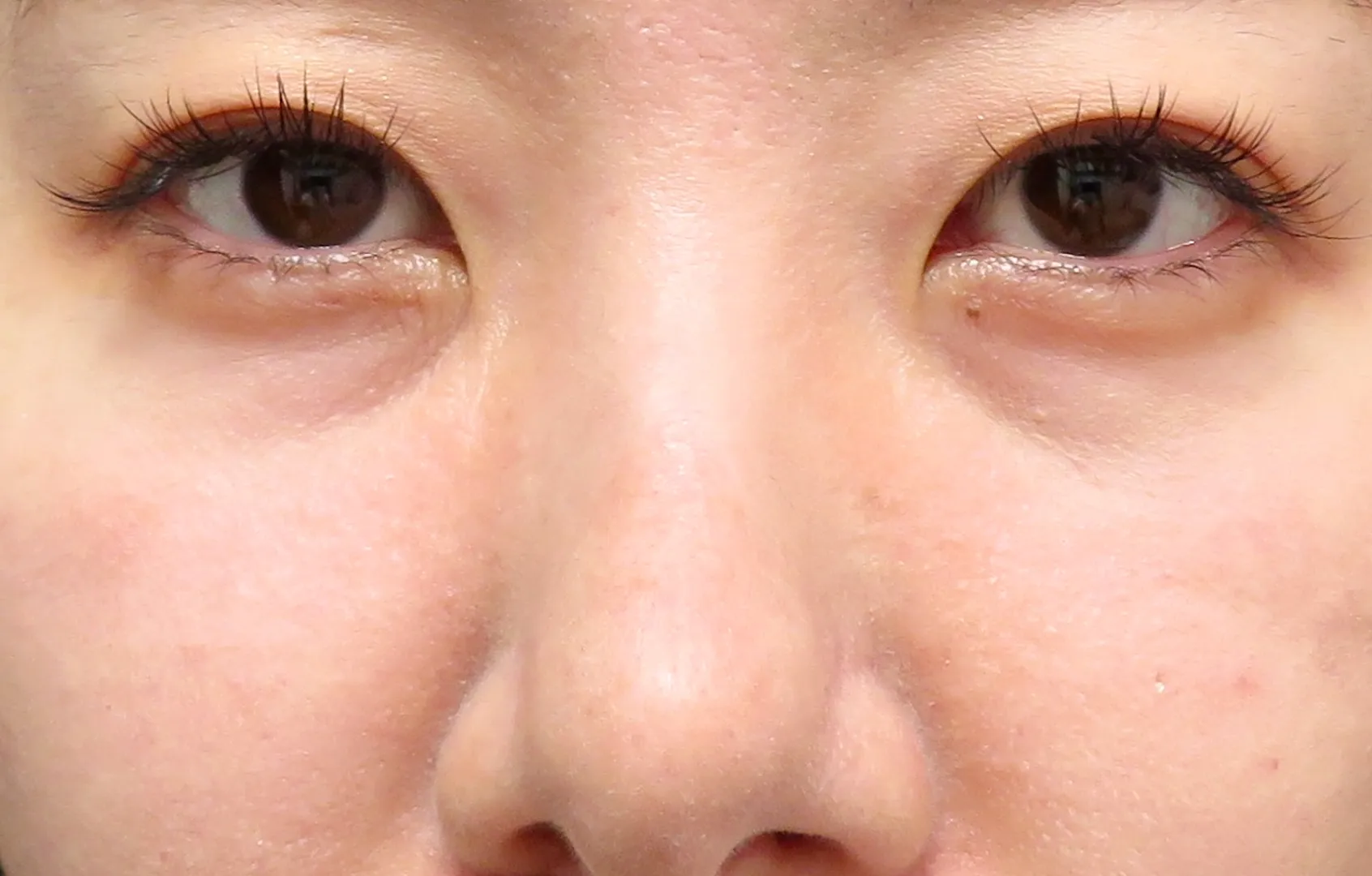
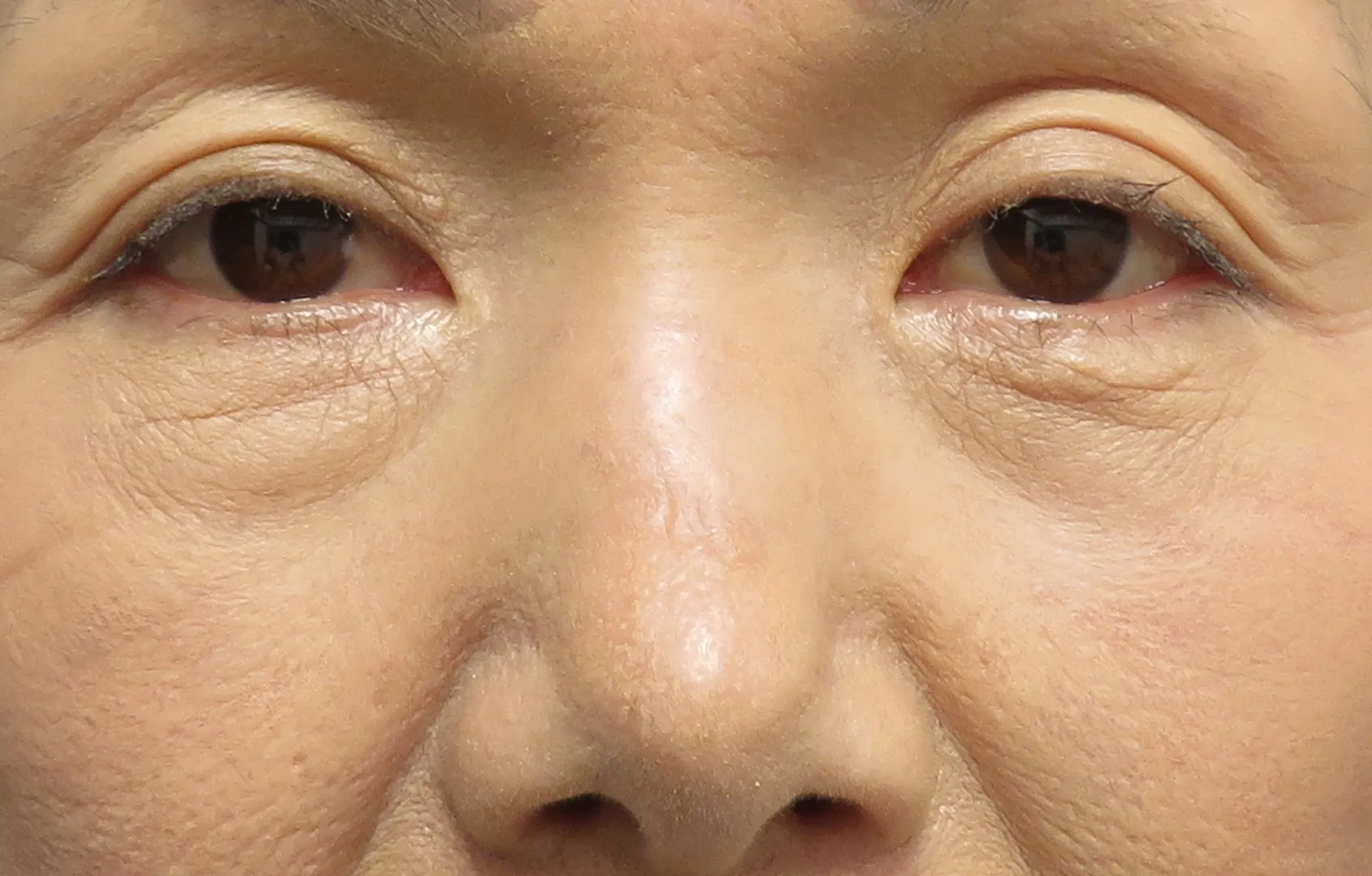
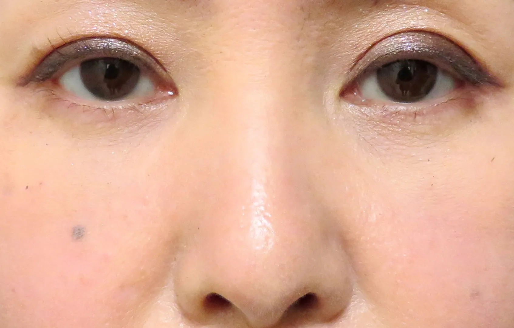
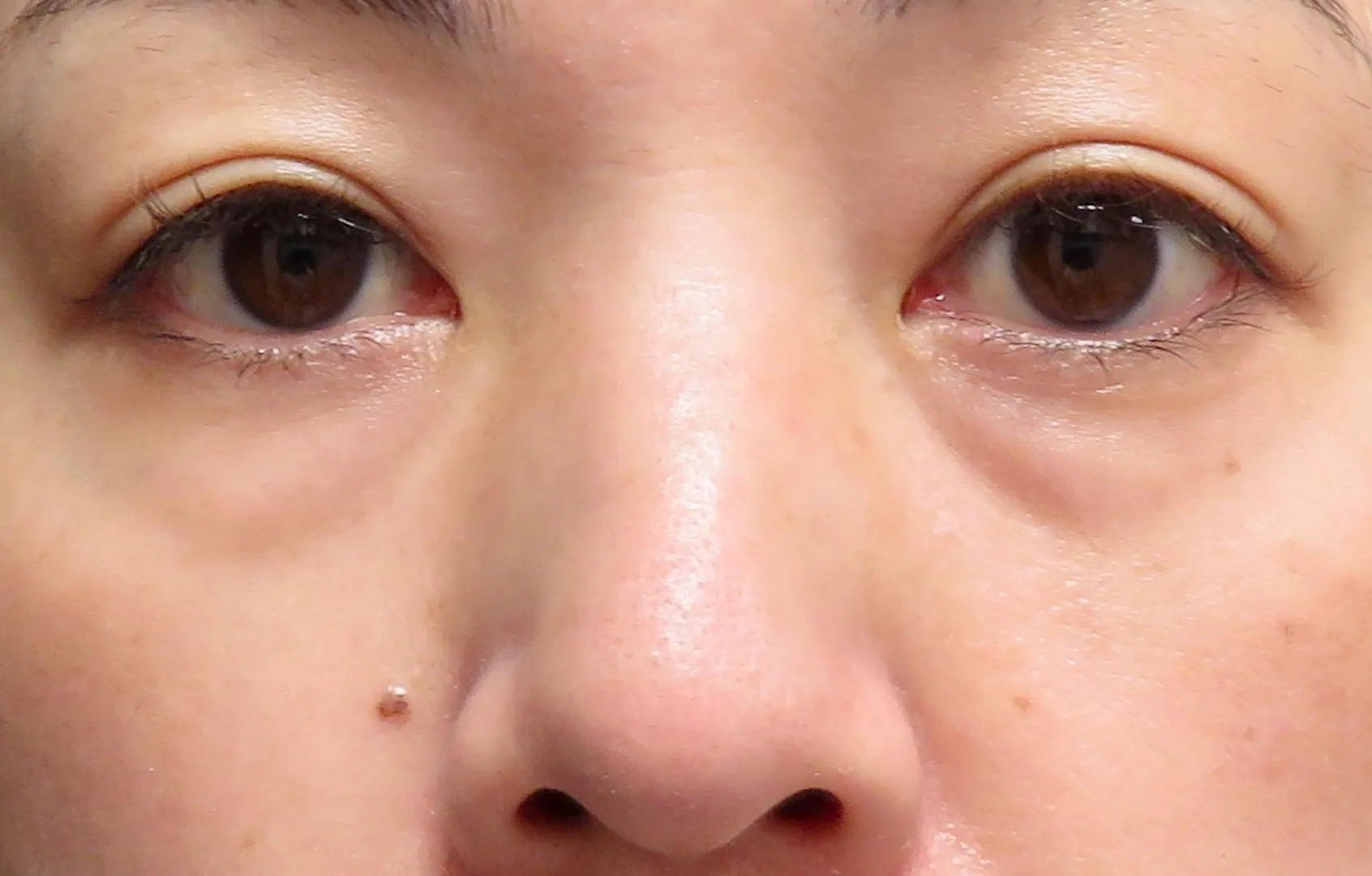
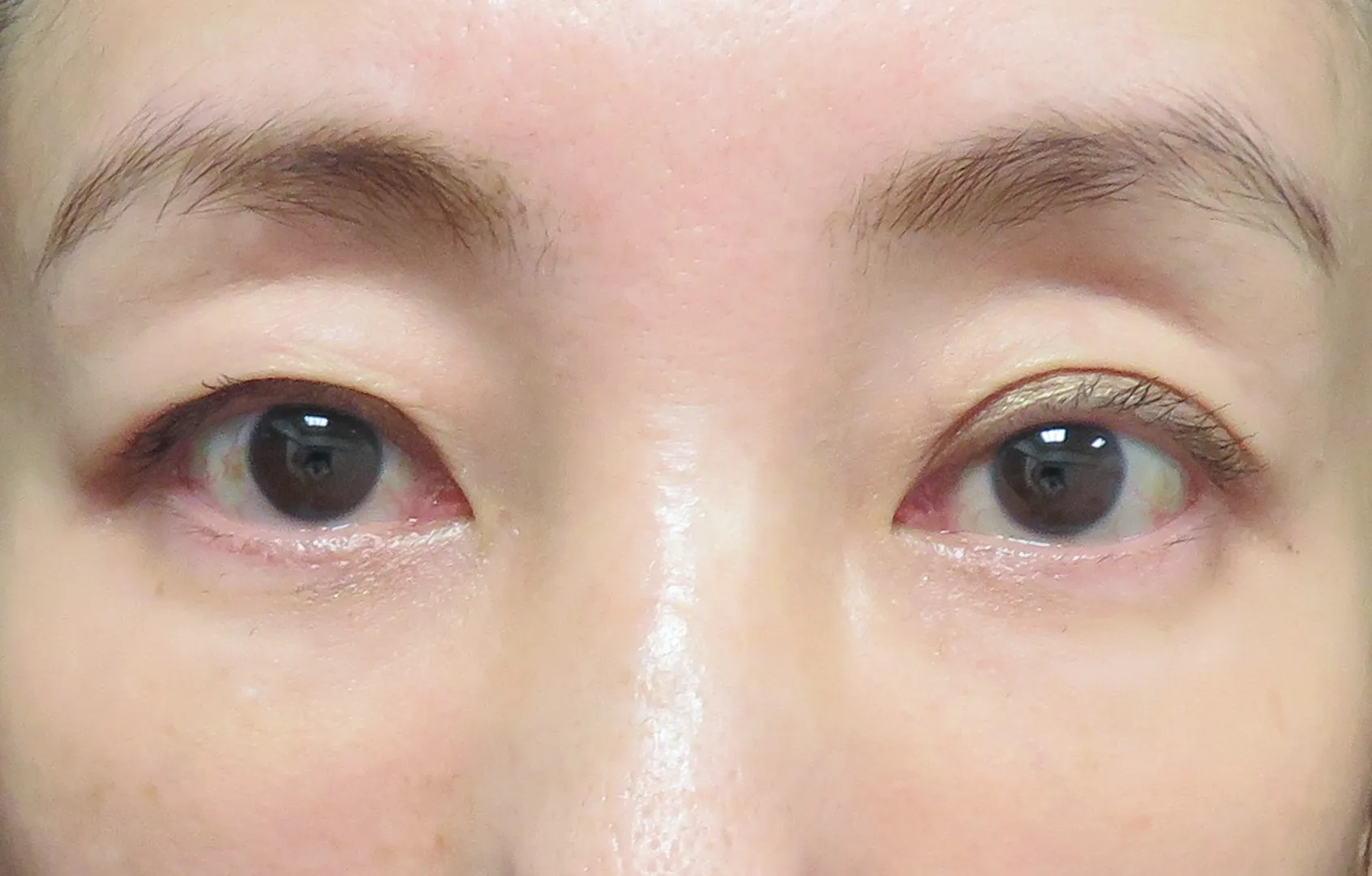
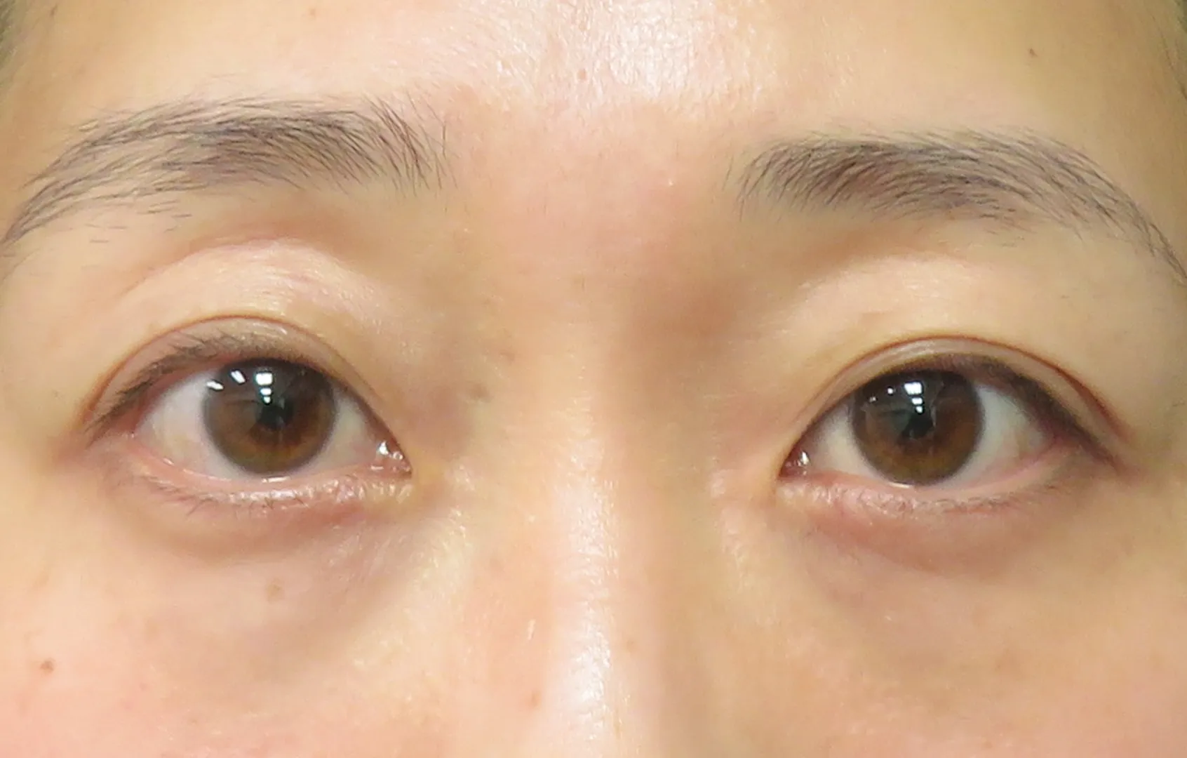
- 目の下のクマ
- ほうれい線
- マリオネット
- ゴルゴ
- まぶたの凹み
- 額のシワ
- 頬のへこみ
- こめかみの凹み
- 眉間のシワ
- 目尻のシワ
- 口元のシワ
- 目頭
- 鼻形成
- 人中
- 鼻唇角
- 歯肉
異物を入れない自身の血液による再生効果により、気になる部位をナチュラルにボリュームアップ。持続期間も5年以上と長期に効果を得られます。
- バスト
- ヒップ
- 額
- こめかみ
- 唇
- あご
- 涙袋
- 耳たぶ
加齢による老化や、先天性の気になる見た目、他院での治療後の修正など、PRP注射の肌再生効果で改善できます。
- 首のシワ
- 手の老化
- 手の血管
- デコルテのやせ
- 豊胸後の不自然さ
- 脂肪吸引後合併症
- 絶壁頭
- デリケートゾーンの老化
PRP注射が効果的な理由
6種類から
最適な配合を選択
PRP注射には6種類の配合が存在します。体質やご年齢、注入部位によって、最適な配合を使い分けることにより、どなたでも確実な肌再生効果が得られます。

持続効果は5年以上!
当院のPRP注射は、ご自身の皮膚が再生されるため、効果が5年以上と長期にわたって持続します。5年後も効果の半分以上は残るので、半分の効果でご満足いただける方にとっては半永久とも言えます。

色素沈着も改善!
PRP注射は、ヒアルロン酸や脂肪注入では改善が難しい、色素沈着(くすみ)を改善することができます。 目の下のクマなどは色素沈着が原因の大半を占めますので、他の治療に比べて圧倒的なアドバンテージがあります。

注入後の修正も可能!
ボリュームがですぎたり、思った仕上がりと異なった場合でも、ケナコルトやヒアルロニダーゼ、脂肪溶解注射などを、ご状態によって組み合わせて注入することで、効果を弱めたり、修正することが可能です。

PRP注射の5つの特徴

独自のPRP作製技術

世界に認められた
PRP注射

厚生労働省
特定認定再生医療等委員会
第三種 取得・認定

年間1,500件を超える
症例数

専門クリニックならではの「高い安全性」
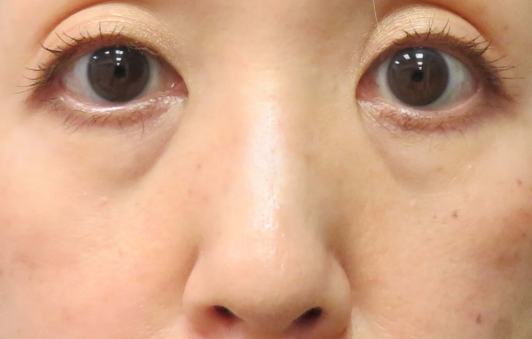
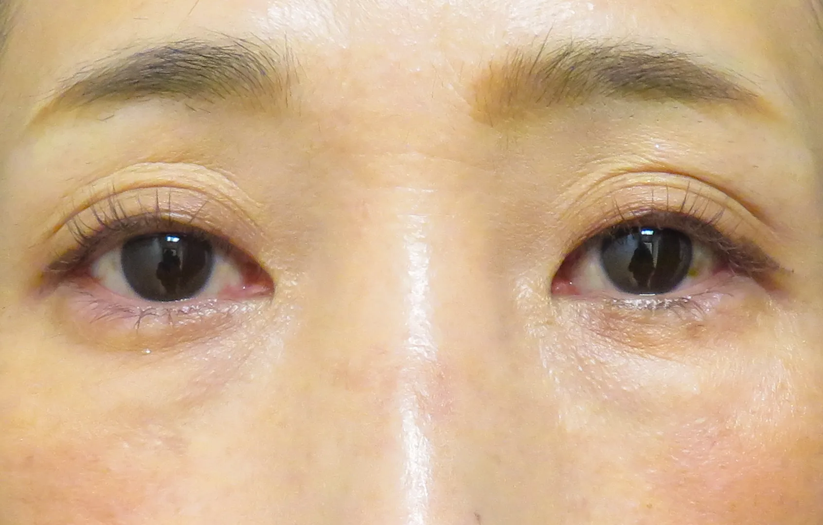
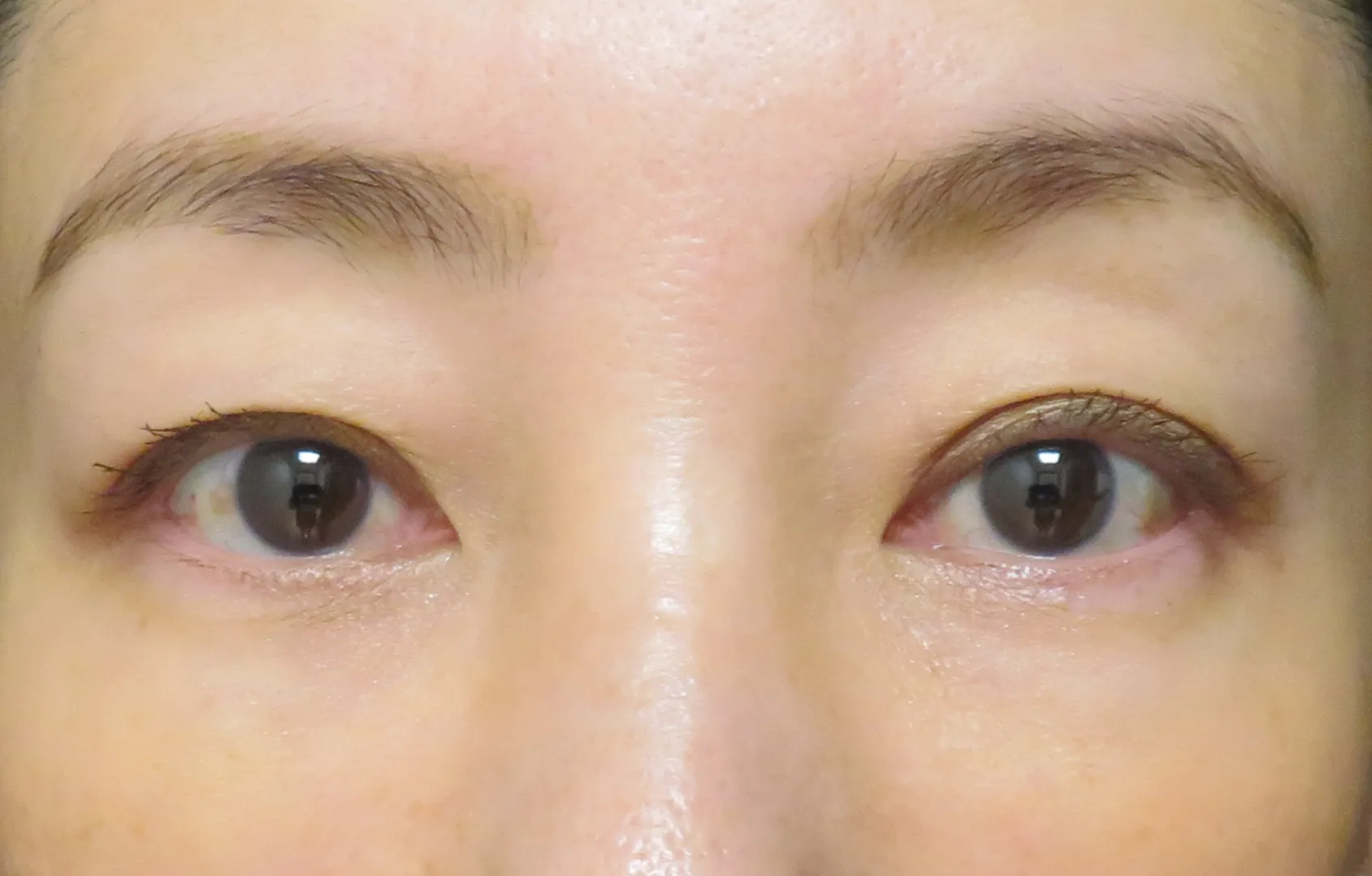
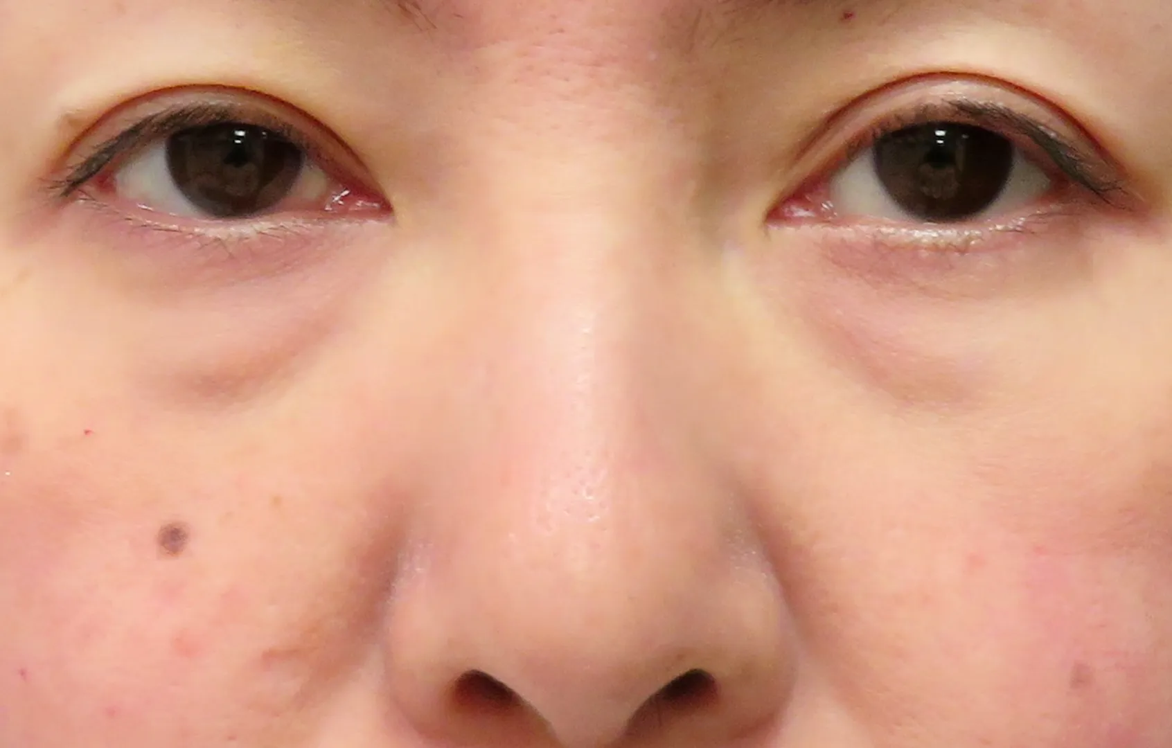
PRP注射の症例写真
PRP注射とpスリム注射の併用例
無料
痛み軽減のために
局所麻酔
注入部位に、極細の針で局所麻酔を行い、痛みを感じないようにします。
笑気麻酔
笑気と呼ばれるガスを吸うことで、リラックスして施術を受けられます。
神経
ブロック
痛みの原因となる神経を一時的にブロックして、痛みを感じにくくします。
痛みは少ないですが、針を使用いたしますので無痛での施術ではございません。上記の麻酔を複合的に組み合わせ、極力痛みを感じないように配慮しております。(上記はすべて無料)
※上記から医師が最適な麻酔を選択いたします。
オプション
静脈麻酔は確実に無痛でおこないたい方のために、PRPを作製する際に採血した同ルートから導入して、お眠りいただいているうちに、施術を終わらせます。
施術の流れ

STEP 1
カウンセリング
お悩みになっている状態や部位についてできるだけ詳しくお聞かせください。症状に対して、最適な治療法をご提案いたします。

STEP 2
PRP作製用の採血
PRP作製用の採血を行います。採血量はご希望の効果と部位によって変わります。また、事前に血液検査が必要になる場合がございます。

STEP 3
PRPの作製
採取した血液を遠心分離器にかけて、PRPを抽出します。

STEP 4
PRPの注入
共有したイメージ通りになるよう、熟練した医師が丁寧に注入致します。
治療概要・禁忌・リスクについて
| 時 間 | 2時間(採血から注入まで) |
|---|---|
| 麻 酔 | 局所麻酔、笑気麻酔、神経ブロック、静脈麻酔(オプション) |
| 通 院 | 必要なし |
| ダウン タイム |
|
| 禁 忌 |
|
| 起こりうる リスク |
効果の個人差、イメージの相違、過度のふくらみ、しこり、感染等 |
\ご新規様・LINE予約限定/
キャンペーン価格
-
対象
- ●LINE友だち登録&LINEよりご予約いただいた方(当キャンペーンはご新規様が対象となります。)
-
注意事項
- ●他キャンペーン(友人割含む)との併用はできませんので、あらかじめご了承くださいませ。
- ●当キャンペーンのお申し込みは、当院での施術歴のないご新規様限定で一回限りとなりますので、あらかじめご了承くださいませ。
- ●当日に2部位目以降の同時施術をご希望される場合は部位追加料金で施術可能となりますが、全てモニターでのご案内となります。予めご了承くださいませ。
- ●医師の指名はお受けできません。
-
お申し込み方法「友だち追加」の上、LINEよりご予約をお願いいたします。 ご予約時にキャンペーンコード【2504】をお伝えいただくとご予約がスムーズです。
●6ヶ月から1年の間を目安にアフター写真撮影のため再来院いただきます。
●当院のSNSやHPにて症例写真を使用させていただく場合がございますので、あらかじめご了承くださいませ。
(※モザイクやトリミングなどでご本人様と分からない様にして使用いたします。)
●モニター適用の方については返金制度は承っておりませんので、あらかじめご了承下さいませ。
●医師の判断(審査)によりモニター条件でのご案内ができかねる場合がございますのであらかじめご了承くださいませ。
よくある質問
-
施術後、すぐに効果は感じられますか?
本治療はご自身の肌再生効果を利用しますので、注入後、約1ヶ月から再生反応が開始し、完了するまでに6か月~12か月程度かかります。
なお、PRP注射の特性上、施術後1か月前後で一時的に「元の状態に戻ったように感じる」ことがあります。これは、施術直後に生じる腫れや炎症反応が落ち着くことによるもので、再生反応が始まる前の正常な経過です。
その後、PRPに含まれる成長因子の作用により組織の再生が進み、時間をかけて徐々に効果が現れていきます。 -
効果はどれくらい持続しますか?
2025年時点で、PRP注射開始から6年以上経過しているお客様のほぼすべてにおいて、80%以上の効果が維持されています。
-
しこりや膨らみが心配です。
当院では、お肌の状態や年齢に応じて最適なPRP濃度を見極め、経験豊富な医師が施術を行っております。これにより、しこりや過度な膨らみといったリスクは極めて低く抑えられています。
-
もしイメージと異なった場合、元に戻せますか?
万が一、仕上がりがご希望と異なる場合でも、当院では「しこり・ふくらみすぎ修正注射」にて、効果を調整することが可能ですのでご安心ください。
-
複数部位を同時に受けるのが良いのでしょうか?
はい、同時施術により料金面でのご負担が軽減されるだけでなく、全体のバランスを見ながら美しさを最大限に引き出す治療設計が可能となります。
-
再施術はどのくらい間隔を空ければ良いですか?
異なる部位であれば、いつでも再施術が可能です。同じ部位の場合は、前回から6か月以上の間隔を空けることをお勧めします。
-
高年齢でも効果はありますか?
年齢に合わせた最適な配合を調整いたしますので、基本的にはどの年代の方にも効果は期待できます。ただし、加齢に伴う効果の低下が気になる方には、より確実な変化が期待できる「PRP注射アイスプレミアム」をご案内しております。
-
ヒアルロン酸や脂肪注入との違いは何ですか?
当院ホームページのコラム欄にて、「PRPとヒアルロン酸・脂肪注入との違い」を詳しくご紹介しておりますので、ぜひご覧ください。
-
施術を受けられないケースはありますか?
ご自身の血液を使用する施術のため、基本的には年齢や体質に関わらず多くの方にご対応可能です。ただし、妊娠中や悪性腫瘍治療中の方にはご遠慮いただいております。





